MRI検査
MRIとはMagnetic Resonance Imagingの略であり、強い磁場を有するトンネルの中に身体を入れて、強い磁石と電波によって体内の様子を画像化する検査です。CT検査とは違い、放射線を使用しないため、被ばくの心配はありません。
色々な角度の断面を画像化することができ、検査部位は脳、脊髄、関節、腹部臓器、骨盤内臓器、血管、皮膚と多岐に渡ります。
特徴としては身体の動きに弱い検査になりますので、検査中は動くことが出来ません。他にも、狭い機械の中で検査を行うこと、装置の物理的な現象によって、大きな音が発生すること、金属製品の持ち込みが一切出来ないことが挙げられます。
当院の装置は2023年2月に更新されました。アナログからフルデジタルへ一新され、高画質になり、より短時間での撮像が可能となりました。また、高い均一性により、ムラの少ない画像となります。
下記に当てはまる方は、検査が受けられないことがありますので、主治医または検査担当者に必ずお申し出ください。
・心臓ペースメーカーを埋め込んでいる方
・人工内耳、人工中耳の方
・3週間以内に内視鏡止血クリップを使用された方
・MRI検査非対応の脳動脈クリップが入っている方
・年代不明の人工心臓弁の手術を受けられている方
・金属の義眼底の方
・外傷など材質不明の体内金属がある方
・狭いところが苦手など閉所恐怖症の方
検査時間は部位や内容によって異なりますが、約20分~1時間程度です。肝臓や胆嚢、膵臓、MRCPなどの腹部MRI検査を受けられる方は食事制限をしていただく場合があります。
色々な角度の断面を画像化することができ、検査部位は脳、脊髄、関節、腹部臓器、骨盤内臓器、血管、皮膚と多岐に渡ります。
特徴としては身体の動きに弱い検査になりますので、検査中は動くことが出来ません。他にも、狭い機械の中で検査を行うこと、装置の物理的な現象によって、大きな音が発生すること、金属製品の持ち込みが一切出来ないことが挙げられます。
当院の装置は2023年2月に更新されました。アナログからフルデジタルへ一新され、高画質になり、より短時間での撮像が可能となりました。また、高い均一性により、ムラの少ない画像となります。
下記に当てはまる方は、検査が受けられないことがありますので、主治医または検査担当者に必ずお申し出ください。
・心臓ペースメーカーを埋め込んでいる方
・人工内耳、人工中耳の方
・3週間以内に内視鏡止血クリップを使用された方
・MRI検査非対応の脳動脈クリップが入っている方
・年代不明の人工心臓弁の手術を受けられている方
・金属の義眼底の方
・外傷など材質不明の体内金属がある方
・狭いところが苦手など閉所恐怖症の方
検査時間は部位や内容によって異なりますが、約20分~1時間程度です。肝臓や胆嚢、膵臓、MRCPなどの腹部MRI検査を受けられる方は食事制限をしていただく場合があります。
使用装置
Philips 社製 Achieva 1.5T MRI装置(アップグレード SmartPath to dStream)
Philips社製Achieva 1.5T MRI装置 (アップグレード Smart Path to dStream for 1.5T)
-
脳血管画像 (MRAの矢印部分が左中大脳動脈の閉塞となります。)
-
全身拡散強調MRI画像(DWIBS)
-
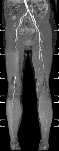
下肢血管画像 (右浅大腿動脈の閉塞と左浅大腿動脈の閉塞の図となります。)